Computertomographie

CT in Feldkirchen in Kärnten – Computertomographie im medQuartier

Was ist eine Photon-Counting Computertomografie (PCCT)?

Die Photon-Counting Computertomografie (PCCT) ist ein hochmodernes bildgebendes Verfahren, bei dem mit Hilfe von Röntgenstrahlen und neuester Computertechnik detaillierte Quer-, Längs- und 3D-Aufnahmen vom Inneren des Körpers erstellt werden. Sie liefert in kurzer Zeit hochauflösende Bilder von Organen, Knochen und Blutgefäßen.

MRT Untersuchung im medQuartier in Feldkirchen in Kärnten mit CT

Ablauf

  • Die CT-Untersuchung erfolgt liegend auf einer komfortablen Liege, die sich sanft durch die ringförmige Öffnung des Geräts bewegt. Unsere erfahrenen Mitarbeiter begleiten Sie während der Untersuchung und stehen für Ihre Fragen zur Verfügung.
  • Mithilfe von Röntgenstrahlen wird der Körper Schicht für Schicht erfasst und von einem leistungsstarken Computersystem zu hochpräzisen Bildern zusammengesetzt.
  • Im medQuartier in Feldkirchen kommt modernste Photon-Counting-CT-Technologie zum Einsatz – als Vorreiter und einzigartig in Kärnten – für eine neue Dimension der Bildqualität bei gleichzeitig geringerer Strahlenbelastung.
  • Die Untersuchung ist schmerzfrei und dauert nur wenige Minuten. Je nach medizinischer Fragestellung kann ein Kontrastmittel zur besseren Darstellung verwendet werden.
CT Untersuchung Bild

Vorteile

  • Höchste Bildqualität: Photon-Counting-Detektoren messen einzelne Röntgenphotonen direkt. Dadurch entstehen schärfere Bilder mit feineren Details, z.B. bei kleinen Gefäßen, Lungenstrukturen oder Knochen.
  • Geringere Strahlendosis: Da die Detektoren effizienter arbeiten und Rauschen besser unterdrücken, kann die Untersuchung mit deutlich geringerer Strahlenbelastung durchgeführt werden – ein großer Vorteil für Kinder und bei wiederkehrenden Verlaufskontrollen.
  • Bessere Gewebe- und Mateialunterscheidung: PCCT kann die Energie der einzelnen Photonen erfassen. Das ermöglicht eine spektrale Bildgebung, mit der verschiedene Materialien (z.B. Knochen, Weichteile, Metall) besser voneinander unterschieden werden können.
  • Weniger bis kein Bildartefakte: Typische Störungen wie Metallartefakte (z.B. durch Stents am Herzen, Prothesen oder Zahnfüllungen) sind deutlich reduziert, was die diagnostische Aussagekraft verbessert.

Einzigartig: Herz-Diagnostik im medQuartier

Herzerkrankungen frühzeitig erkennen und vermeiden: Bei koronaren Herzerkrankungen ist eine präzise Diagnostik entscheidend. Das Photon-Counting-Herz-CT ermöglicht die frühzeitige Erkennung kleinster Veränderungen, wie nicht verkalkter Plaques, die mit herkömmlichen Untersuchungsmethoden oft unentdeckt bleiben. Durch die extrem hochauflösende Bildgebung kann in vielen Fällen auf eine invasive Herzkatheter-Untersuchung verzichtet werden.

  • Herz-CT

    Im medQuartier führen wir gezielte CT-Untersuchungen des Herzens und der Gefäße durch. Die Untersuchung ist schnell, schmerzfrei und liefert innerhalb kurzer Zeit aussagekräftige Ergebnisse.

Vergleich konventionelles CT zu Photon-Counting-CT

Im medQuartier Feldkirchen setzen wir auf die modernste Technik und verwenden deswegen ein Photon-Counting-CT Gerät. In den folgenden Bildvergleichen sehen Sie links jeweils eine Aufnahme aus einem konventionellen CT, rechts jene aus einem PCCT. Die deutlich höhere Bildauflösung bei gleichzeitig wesentlich geringerer Strahlenbelastung ist klar erkennbar. Besonders profitieren davon Kinder sowie Patientinnen und Patienten mit regelmäßig notwendigen Kontrolluntersuchungen.

Der Vergleich eines konventionellen CTs mit einem Photon-Counting-CT entspricht in etwa einem Vergleich von einem pixeligen „Schwarzweiß Röhrenfernseher“ zu einem „hochmodernen 8K Flatscreen“.

Innenohr

Vor allem bei sehr feinen Strukturen wie im Innenohr sind mittels Photon-Counting-CT detailreiche Darstellungen der Knochenstruktur möglich.

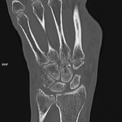
Handgelenk

Beim Gelenken sind mit dem Photon-Counting-CT Darstellungen von feinsten Strukturen möglich.

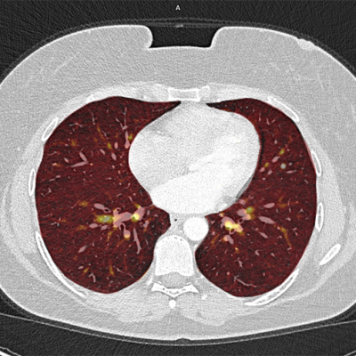
Lunge

Das Photon-Counting-CT ermöglicht die Darstellung feinster Lungengewebestrukturen – bei einer Strahlendosis, die der eines herkömmlichen Röntgens in zwei Ebenen entspricht. Dank der spektralen Bildgebung können zudem auch Bereiche mit verminderter Durchblutung farblich sichtbar gemacht werden.

Computertomographie im medQuartier

Siemens CT-Gerät im medQuartier

Modernste Technologie

Außergewöhnliche Bildqualität dank Photon-Counting-CT: Während klassische CTs oft nur grobe Kontraste zeigen, liefert die Photon-Counting-CT-Technologie gestochen scharfe, farbdifferenzierte Bilder mit bislang unerreichter Detailtiefe, bei gleichzeitig reduzierter Strahlenbelastung. Ein herkömmliches CT ist wie Schwarz-Weiß-Fernsehen auf einem alten Röhrenbildschirm – unsere PCCT ist Full-HD in Farbe. Diese Geräte stellen eine fundamentale Weiterentwicklung in der CT-Technologie dar, die wir im medQuartier Kärnten Ihnen derzeit exklusiv im Bundesland anbieten können.

Reduzierte Strahlendosis

Minimale Strahlenbelastung, maximale Bildqualität: Die PCCT-Technologie ermöglicht eine bislang unerreichte Kombination aus hochauflösender Bildgebung und deutlich reduzierter Strahlendosis – ideal auch für besonders sensible Patientengruppen wie Kinder, Jugendliche und Patienten mit regelmässigen Folgeuntersuchungen, sowie für strahlenempfindliche Körperregionen und Organe, wie etwa der Lunge.

Photon-Counting-CT-Technologie

Schmerz gezielt behandeln: Mit modernsten bildgebenden Verfahren unterstützen wir die interventionelle Schmerztherapie. Die neueste Photon-Counting-CT-Technologie ist eine hochpräzise, strahlenarme und schonende Möglichkeit zur Diagnostik und gezielten Schmerzbehandlung.

Untersuchung für alle

CT-Diagnostik auch bei Adipositas: Im MedQuartier Kärnten ist medizinische Bildgebung für alle Menschen zugänglich, unabhängig von Faktoren wie Körpergewicht oder -umfang. Dank unseres leistungsstarken PCCT mit erweiterter Gantry-Öffnung von 82 cm können wir auch adipöse Patienten komfortabel, sicher und präzise untersuchen.

Fachärztliche Bekundung durch Radiologen

Im medQuartier in Feldkirchen werden alle CT-Untersuchungen von erfahrenen Fachärzten für Radiologie sorgfältig ausgewertet. Unsere Radiologen gewährleisten eine präzise und zuverlässige Befundung nach höchsten medizinischen Standards.

Die Befunde stehen in der Regel noch am selben Tag, spätestens innerhalb von 24 Stunden, zur Verfügung. Ist gerade ein Radiologe vor Ort, findet die Befundbesprechung gleich nach der Untersuchung persönlich statt. Andernfalls wird der Befund zeitnah elektronisch übermittelt und an die zuweisenden Ärzte weitergeleitet.

Schnelle Terminvergabe

Bei uns müssen Sie nicht lange warten: Wir bieten eine schnelle und unkomplizierte Terminvergabe für CT-Untersuchungen. Ihr Termin kann ganz bequem telefonisch unter +43 4276 311460 oder per Mail anmeldung@medquartier.at vereinbart werden, sodass Sie zeitnah, in der Regel binnen 1-2 Tagen Gewissheit über Ihre Gesundheit erhalten – effizient, professionell und patientenfreundlich.