Hochmoderne Diagnostik und neueste Technik

Ihre Gesundheit.
Unser Fokus.

Willkommen in der medQuartier Radiologie!


Wir verbinden modernste Medizin mit einer Atmosphäre, in der Sie sich sicher und gut aufgehoben fühlen. Klare Abläufe, Ruhe und Zeit für Sie stehen im Mittelpunkt jeder Untersuchung. CT- und MRT-Bilder ohne Wartezeit. Mit Photon-Counting-CT und 3-Tesla-MRT setzen wir auf in Kärnten einzigartige Technologien für außergewöhnlich detailreiche Bilder und besonders präzise Diagnosen. Die schonenden Verfahren eignen sich auch für Kinder und Jugendliche. Kurze Messzeiten, große offene Geräte und ein ruhiges Umfeld sorgen für eine angenehme Untersuchung und ein gutes Gefühl von Anfang bis Ende.

CT Gerät im medQuartier in Feldkirchen in Kärnten
Radiologie mit CT Gerät im medQuartier Feldkirchen in Kärnten
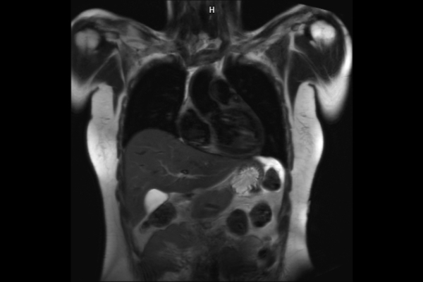
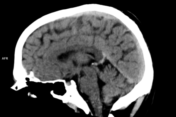
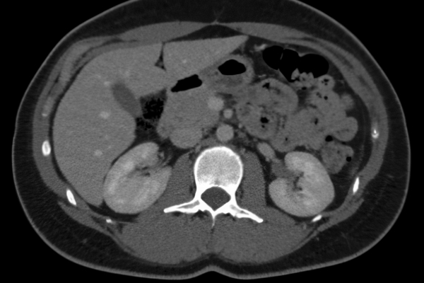
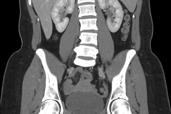
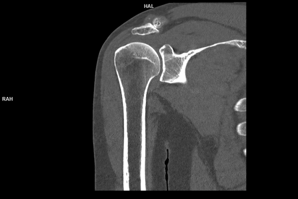
CT Untersuchung Bild
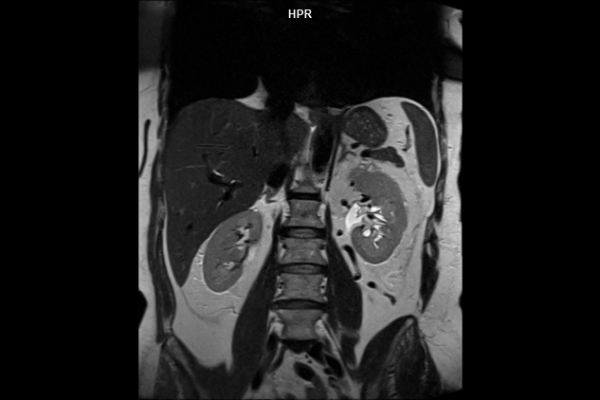
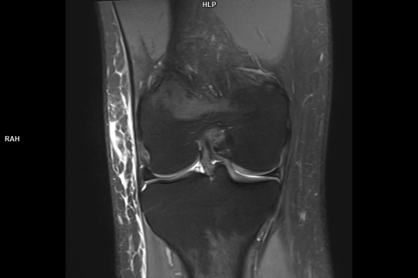
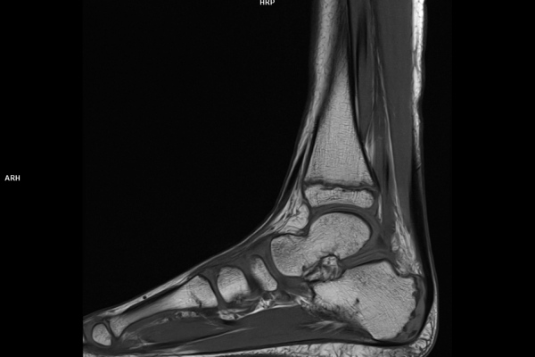
Detailbild MRT

Unser Angebot

Einzigartig in Kärnten – Diagnostik der neuen Generation

Ihr Körper, sichtbar gemacht

Modernste Bildgebung für jeden Bereich Ihres Körpers

MRT und CT

Entdecken Sie, welche CT- und MRT-Untersuchungen in unserer Radiologie für jeden Bereich Ihres Körpers möglich sind.
oder auf Körperteil klicken
Alle unsere Leistungen

Präzise Aufnahmen, genau dort wo Sie es brauchen. In unserer Preisliste finden Sie eine übersichtliche Aufstellung aller Leistungen und Untersuchungen in unserer Radiologie – klar gegliedert und nachvollziehbar dargestellt. Gerne beraten wir Sie persönlich, welche Bildgebung für Ihre Bedürfnisse am besten geeignet ist.

DDr. Petritsch in der Radiologie im medQuartier Kärnten

In der Radiologie geht es nicht nur um Bilder, sondern um klare Antworten für unsere Patienten. Wir setzen modernste Technik ein, um Diagnosen verständlich und verlässlich zu machen.

Prim. Prof. Dr. Dr. Bernhard Petritsch, EBCR, MHBA

Unsere Radiologen

Vier hochqualifizierte, erfahrene Fachärzte für Radiologie begleiten Sie bei Aufklärung, Diagnostik und persönlicher Befundbesprechung.

  • Dr. Andreas Pötsch

    Dr. Andreas Pötsch - medQuartier Feldkirchen

    Dr. Andreas Pötsch

    Facharzt für Radiologie

    Öffnungszeiten

    Nach Vereinbarung.

    Leistungen

    • MRT-Diagnostik
    • CT-Diagnostik
    • Ultraschalluntersuchungen
    • Gefäßdiagnostik
    • CT-gezielte Schmerzbehandlungen
    • Bildgebende Endometriose-Abklärung

    Über mich

    Der Patient steht im Zentrum meiner Tätigkeit. Mithilfe moderner CT- und MRT-Diagnostik ermögliche ich eine präzise und schonende Abklärung. Einfühlsames Zuhören sowie verständliche Erklärungen sind mir im Umgang mit meinen Patienten besonders wichtig.

    Ausbildung und beruflicher Hintergrund

    • Facharzt Radiologie LKH Villach
    • Studium an der medizinischen Universität Graz
  • Prim. Prof. Dr. Dr. Bernhard Petritsch, EBCR, MHBA

    Prim. Prof. DDr. Bernhard Petritsch - medQuartier Feldkirchen

    Prim. Prof. Dr. Dr. Bernhard Petritsch, EBCR, MHBA

    Facharzt für Radiologie

    Öffnungszeiten

    Nach Vereinbarung.

    Leistungen

    • Kardiovaskuläre Bildgebung (MRT- und CT-Untersuchungen des Herzen)
    • Gefäßdiagnostik (CT-Angiographie)

    Über mich

    Im Zentrum all meiner Bemühungen steht stets der Mensch. Mich motiviert am Beruf besonders die detektivische Spurensuche durch einen nicht-invasiven Blick in den menschlichen Körper. Radiologische Einschätzungen sind entscheidend für eine korrekte Diagnose und die Wahl der Therapie durch die behandelnden Ärzte.

    Ausbildung und beruflicher Hintergrund

    • Abteilungsvorstand am Institut für diagnostische und interventionelle Radiologie im Klinikum Klagenfurt
    • Facharzt für Radiologie am Universitätsklinikum Würzburg
    • Studium an der Medizinischen Universität Graz
  • Dr. Manfred Kontrus

    Dr. Manfred Konkurs - medQuartier Feldkirchen

    Dr. Manfred Kontrus

    Facharzt für Radiologie

    Öffnungszeiten

    • Montag: 08:00 – 16:00

    Zusätzlich sind auch individuelle Termine nach Vereinbarung möglich.

    Leistungen

    • MRT-Diagnostik
    • CT-Diagnostik
    • Ultraschalluntersuchungen (Bauch, Becken, Brust und Gefäße)
    • Mammadiagnostik

    Über mich

    Als Radiologe ist es mein Anspruch, durch präzise Diagnostik die Grundlage für eine optimale Therapie zu schaffen. Gleichzeitig lege ich großen Wert darauf, Patientinnen und Patienten verständlich und persönlich über Befunde und mögliche nächste Schritte zu informieren. Dies sehe ich als zentralen Qualitätsanspruch moderner radiologischer Bildgebung.

    Ausbildung und beruflicher Hintergrund

    • Leitung der Abteilung Radiologie an der Privatklinik Villach (bis 2025)
    • Alleinorginisator des MR-CT Symposiums in Pörtschach
    • Universitätsklinik für Radiologie
    • Studium an der Medizinischen Universität Wien
  • Dr. Manuel Taschwer, BA

    Person fehlt

    Dr. Manuel Taschwer, BA

    Facharzt für Radiologie

    Öffnungszeiten

    Nach Vereinbarung.

    Leistungen

    • MRT-Diagnostik
    • CT-Diagnostik
    • Muskuloskelettale Bildgebung
    • Neuroradiologie
    • Mamma-Diagnostik

    Über mich

    Als Facharzt für Radiologie ist es mein Ziel, höchste medizinische Expertise mit modernster Technik zu verbinden. Besonders wichtig ist mir dabei auch die menschliche Komponente: Ich nehme mir die Zeit, Ihre Befunde in einer direkten, verständlichen Kommunikation persönlich mit Ihnen zu besprechen und komplexe Ergebnisse verständlich zu erklären. So schaffen wir gemeinsam Klarheit und legen die optimale Basis für Ihre weitere Behandlung. Ihre Gesundheit steht im Mittelpunkt – präzise und persönlich.

    Ausbildung und beruflicher Hintergrund

    • Seit 2024 freiberuflich tätiger Facharzt für Radiologie
    • Ausbildung zum Facharzt für Radiologie am LKH Villach
    • Schwerpunktausbildung Kinderradiologie am Universitätskinderspital Zürich
    • Studium an der Medizinischen Universität Graz
Bildabruf

Die radiologischen Bilder stehen Ihnen in der Regel innerhalb von 24 Stunden nach der Untersuchung zur Verfügung. Sie können diese ganz einfach über unser gesichertes Onlineportal herunterladen oder bei uns mit einem USB-Stick abholen. Auf Wunsch senden wir die Ergebnisse auch direkt an Ihren behandelnden Arzt.

Modernste Radiologie in Kärnten

FAQ

Wie schnell erhalte ich einen Termin für eine MRT- oder CT-Untersuchung?

Im Normalfall ist eine sehr schnelle Terminvergabe möglich, in der Regel binnen 1-2 Tagen. Je nach Auslastung kann auch eine Terminvergabe am selben Tag erfolgen.

Wie viel kosten die Untersuchungen?

Transparenz ist uns wichtig. In unserer Preisliste finden Sie eine übersichtliche Aufstellung aller radiologischer Leistungen und deren Kosten. Die Liste können Sie jederzeit hier abrufen.

Ist eine Überweisung notwendig?

Eine Überweisung zur MRT-, CT- oder Ultraschall-Untersuchung ist nicht zwingend notwendig, hilft aber bei der Bestimmung der richtigen Untersuchung und wird deswegen empfohlen. Auch falls Kosten von einer Zusatzversicherung übernommen werden sollen, ist eine Überweisung notwendig.

Welche MRT- bzw. CT-Untersuchungen werden im medQuartier durchgeführt?

Wir bieten ein breites Spektrum an Untersuchungen an, von Standarduntersuchungen der Gelenke, Organe oder großflächigen Körperregionen bis zu Spezialuntersuchungen zum Beispiel des Herzen oder der Gefäße. Zusätzlich werden Angiographien (Darstellung von Blutgefäßen), Endometriose-Abklärungen und Mamma-Untersuchungen durchgeführt. Genauere Details können Sie der MRT/CT-Übersicht und der Preisliste entnehmen, oder Sie wenden sich direkt an unser Team, das Sie gerne zur passenden Untersuchung berät.

Werden Ultraschall-Untersuchungen im medQuartier angeboten?

Ja, unsere Radiologie bietet auch Sonographie- (Ultraschall-)Untersuchungen an. Untersucht werden unter anderem Abdomen, Becken, Leiste, Brust, Venen und Gefäßen.

Was ist der Unterschied zwischen einer MRT- und einer CT-Untersuchung?

Die MRT (Magnetresonanztomographie) arbeitet mit Magnetfeldern und Radiowellen und eignet sich besonders für Untersuchungen der Weichteile wie Gehirn, Muskeln oder Gelenke. Die CT (Computertomographie) nutzt Röntgenstrahlen und liefert schnelle, hochauflösende Bilder, insbesondere für Knochen, Lunge oder innere Organe. Die Wahl der jeweiligen Untersuchung richtet sich an das individuelle Krankheitsbild und wird bei der Überweisung festgelegt.

Ist eine MRT- oder CT-Untersuchung schmerzhaft oder schädlich?

Die Untersuchungen sind völlig schmerzfrei. CT-Untersuchungen beinhalten Röntgenstrahlung, die bei moderatem Einsatz sicher ist. MRT verwendet keine Strahlung. Wir achten stets auf Ihre Sicherheit und Strahlenexposition. Im medQuartier werden Geräte in modernster Ausführung verwendet, um die bestmöglichen Bilder mit der sichersten Methode zu erhalten.

Muss ich mich auf die MRT- oder CT-Untersuchung vorbereiten?

Die Vorbereitung hängt von der Art der Untersuchung ab. In manchen Fällen ist Nüchternheit erforderlich oder es wird Kontrastmittel eingesetzt. Unser Team informiert Sie vorab individuell über alles Notwendige.

Welche Vorteile bietet die Radiologie im medQuartier?

Unsere Radiologie im medQuartier setzt auf modernste bildgebende Verfahren, darunter Photon-Counting-CT, 3-Tesla-MRT, welche in der Art einzigartig in Kärnten sind. So können Erkrankungen besonders präzise, schonend und patientenfreundlich diagnostiziert werden. Als privates Diagnose-Zentrum bieten wir besonders kurze Wartezeiten für Termine und Befunde sowie persönliche Betreuung durch unser erfahrenes Team.
Ein besonderer Vorteil des medQuartiers ist die interdisziplinäre Zusammenarbeit: Ergebnisse aus der Radiologie können direkt mit unserem Therapiezentrum abgestimmt werden, in welchem Sie durch Physiotherapie oder med. Trainingstherapie effizient bei der Regeneration unterstützt werden. So erhalten Sie eine umfassende Versorgung aus einer Hand, bei der Diagnostik und Therapie optimal aufeinander abgestimmt sind.

Ab wann ist mein Befund verfügbar?

Der Befund ist innerhalb von 24 Stunden nach der Untersuchung verfügbar und wird an Ihren überweisenden Arzt und bei Wunsch auch an Ihren Hausarzt übermittelt. Der Befund ist außerdem online über unsere Website abrufbar – klicken Sie dafür auf den obenstehenden Button „Befunde“. Er kann auch mittels USB-Stick bei uns abgeholt werden.

Wann und wie erhalte ich die Bilder von meiner radiologischen Untersuchung?

Die radiologischen Bilder stehen Ihnen in der Regel innerhalb von 24 Stunden nach der Untersuchung zur Verfügung. Sie können diese bei uns mit einem USB-Stick abholen oder über unser gesichertes Onlineportal herunterladen. Auf Wunsch senden wir die Ergebnisse auch direkt an Ihren behandelnden Arzt.